Digital Workflows for All-on-X Treatments: Cutting-Edge Technologies for Predictable Results
Digital Workflows For All-on-X Treatments: Cutting-Edge Technologies for Predictable Results
Abstract:
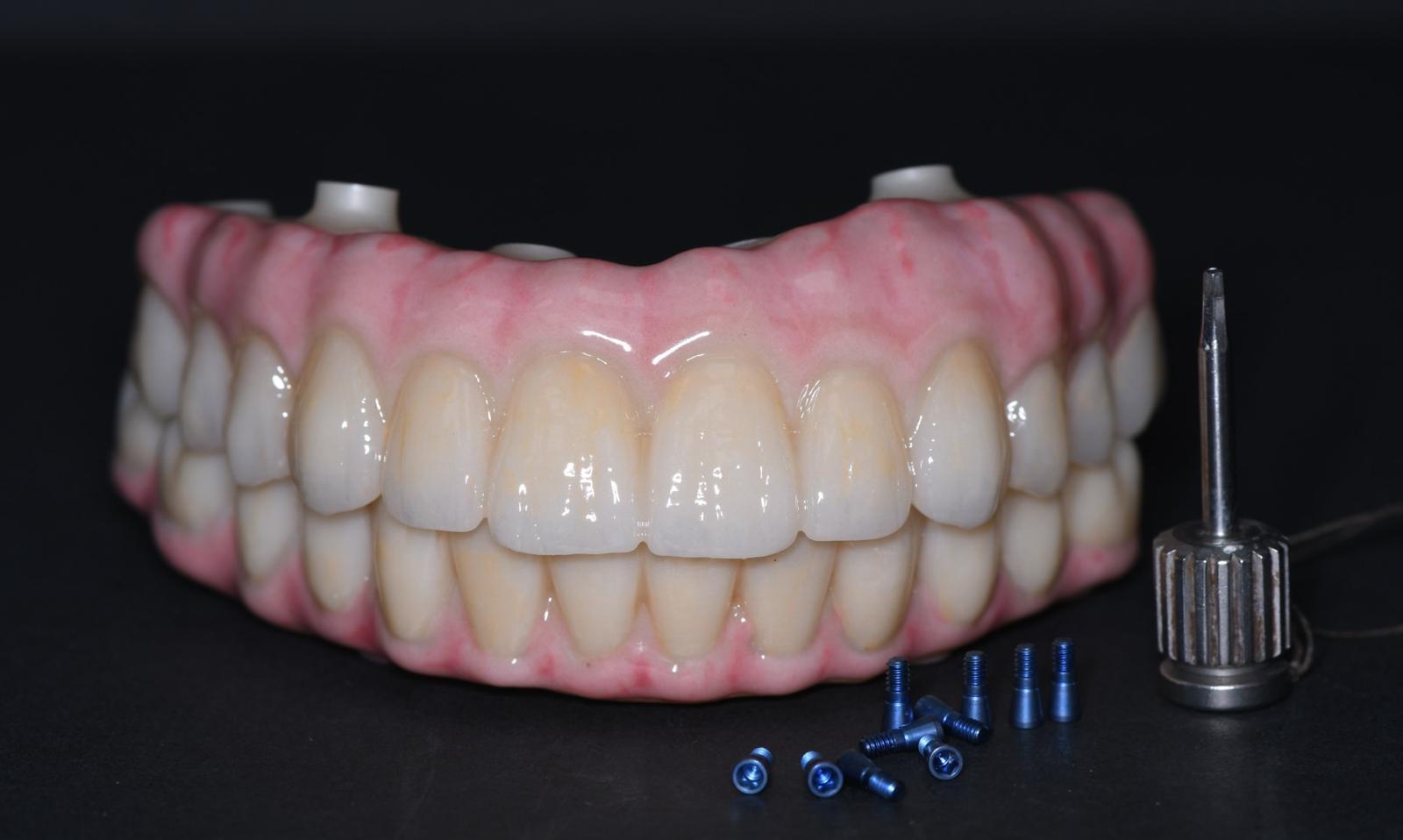
The revolutionary All-on-X (AOX) model-less workflow has become a reality through seamless integration of state-of-the-art technologies: interactive implant planning software, guided surgery systems, intraoral scanning (IOS), advanced 3D printing, and photogrammetry. Our innovative CAD-CAM protocols dramatically streamline the treatment process, reducing appointment frequency, chair time, and prosthetic delivery intervals. We've pioneered multiple digital workflows that ensure precise implant position recording and bite capture for full-arch implant rehabilitation.
The latest breakthroughs in 3D printing technology and materials enable same-day provisional restoration with unprecedented predictability. Clinicians can now consistently produce highly accurate temporaries that achieve perfect fit on multi-unit abutments (MUAs), whether using freehand or guided surgical approaches.
Learning Objective:
- Master comprehensive digital workflows incorporating AI Smile Design, facial scanning, intraoral scanning, photogrammetry, Exocad design, and cutting-edge 3D printing and milling technologies
- Gain in-depth understanding of stackable guided surgery principles and implementation
- Master new digital techniques for capturing implant positions with absolute precision
- Develop expertise in predictable AOX digital workflows from provisional to definitive restorations
- Learn advanced techniques for direct MUA restoration using Rosen, Powerball, Vortex, or DESS Flat Seat Screws, eliminating the need for Ti-bases or Ti-copings
- Acquire practical knowledge of essential techniques, equipment, and materials for implementing digital workflows in your practice
This lecture empowers clinicians to embrace the digital revolution in implant dentistry, enabling more efficient and predictable treatment outcomes for full-arch
Speaker(s):
Dr. Chan Fuk Shing, Brian
BDS (HKU), MSc (London), DPDS (Bristol), MFGDP (UK), Diploma in Implant Dentistry RCS (England), MFDS (Glasgow), MFDS (Edin)
Course Information:
Fee: | HKPDS Member: HK$ 300 Non- HKPDS Member: HK$ 500
| |
Country: | Hong Kong
| |
Point Accreditation: | 2 CME Point Pending
| |
Format: | Live Lecture
| |
Organizer: | ||
-
DATE2026-03-31(Tue)
-
TIMEGMT +8
7:00 pm - 9:00 pm -
LOCATIONCenter of Dental Education (17/F, CEO Tower, 77 Wing Hong Street, Cheung Sha Wan, Kowloon, Hong Kong)
-
PRICEHK$500
-
HKPDS Member: HK$ 300
Non- HKPDS Member: HK$ 500
Please click below link for registration:
https://dub.sh/DrBrianChanCourse - Join waiting list

